10
Ago
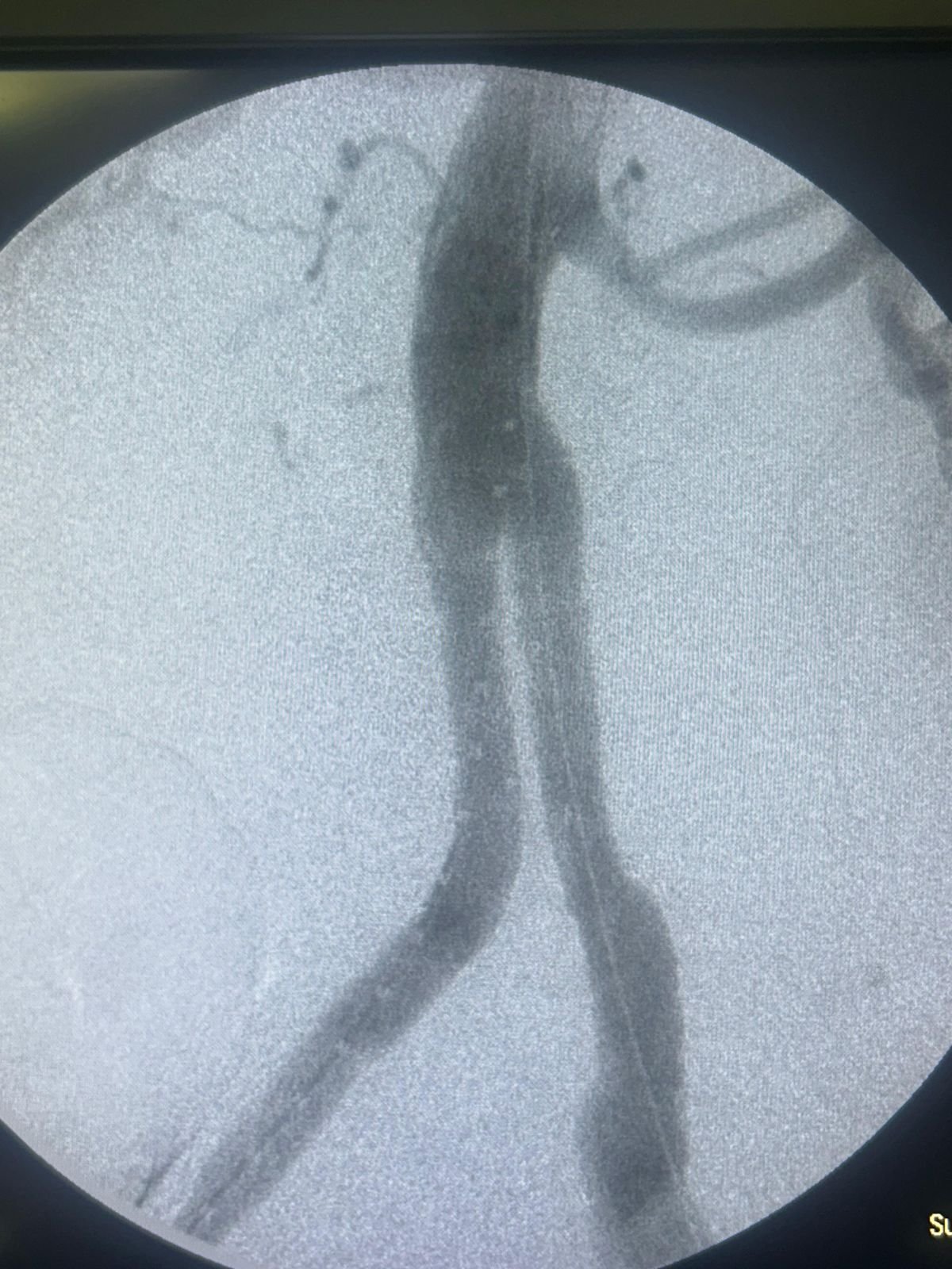
Primer procedimiento en Ecuador con endoprótesis Minos™ Ultra Low Profile para Aneurisma de Aorta Abdominal e Ilíaco
En Ecuador se realizó con éxito el primer procedimiento endovascular para el tratamiento combinado de Aneurisma de Aorta Abdominal (AAA) e ilíaco, utilizando la endoprótesis Minos™ Ultra Low Profile de MicroPort Endovastec, una solución avanzada diseñada para accesos vasculares complejos y anatomías desafiantes.
👨⚕ El paciente, un hombre de 66 años, presentaba un AAA de 74 mm y un aneurisma de Ilíaca Primitiva de 70 mm, con accesos finos y tortuosos y un cuello distal de aorta de 23 mm.
El abordaje incluyó:
Embolización de Hipogástrica derecha con coils
Implante de endoprótesis aorto-bi-ilíaca hasta la ilíaca externa derecha e ilíaca primitiva izquierda
Este caso de alta complejidad endovascular requirió la combinación de múltiples técnicas y la experiencia de un equipo multidisciplinario:
🔹 Dr. Nicolás Blum – Hospital de Especialidades Alfredo Paulson
🔹 Dr. Ricardo Hernández Santos
🔹 Dr. Martín Erazo Salame
🔹 Dra. Andrea Villarreal
🔹 Dra. Kelly Cruz
🔹 Con el acompañamiento internacional del Dr. Alejandro Cuacci (Argentina)
🔹 Asistencia técnica: Ángel Morillo – Primus Medical Ecuador
Este procedimiento representa un avance significativo para la cirugía endovascular en Ecuador, demostrando que el país cuenta con especialistas y tecnología de última generación para abordar patologías vasculares complejas.
📍 Primus Medical Ecuador reafirma su compromiso en proveer soluciones médicas de alto nivel para mejorar la calidad de vida de los pacientes.
Post
RELAcionados
Implante transcatéter de válvula aórtica (TAVI) exitoso en Semedic Centro Médico
En Semedic Centro Médico se ha alcanzado un nuevo hito en el campo de la cardiología intervencionista estructural: la realización...
En el INTERHOSPITAL, se realizó con éxito la implantación de una válvula Bicaval TricValve™
El caso presentó un reto técnico en el posicionamiento dentro de la vena cava inferior, que fue superado gracias a...
Primer procedimiento en Ecuador con el sistema IVUS HDi
Con gran orgullo compartimos la realización del primer caso en el país con la tecnología IVUS HDi™ de Acist, en...
Éxito en reemplazo valvular aórtico con tecnología Inspiris Resilia
https://youtube.com/shorts/vqXD-YruHUE?feature=share Su avanzada tecnología VFit fue determinante, ofreciendo una solución duradera y preparada para un posible procedimiento Valve-in-Valve en el futuro. La...
Avance en Reemplazo Valvular Mitral
La salud del corazón es una prioridad, y en Edwards Lifesciences entende la complejidad de la válvula mitral y la...
Iberis, Denervación Renal por Radiofrecuencia
¿𝐐𝐮é 𝐞𝐬 𝐥𝐚 𝐃𝐞𝐧𝐞𝐫𝐯𝐚𝐜𝐢ó𝐧 𝐑𝐞𝐧𝐚𝐥?Es un procedimiento mínimamente invasivo que utiliza radiofrecuencia para modular los nervios renales, logrando una reducción...
Archimedes: La Evolución en CPRE en Ecuador
En un importante avance para la gastroenterología en Ecuador, el Hospital Eugenio Espejo ha sido escenario de un procedimiento innovador...









